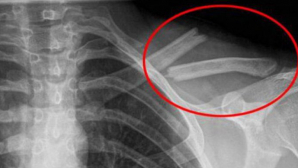
Taguri: suc acidulat O bei în fiecare zi! OTRAVA care îţi distruge oasele, iar tu nici nu bănuiai 1 ABCDEFGHIJKLMNOPQRSTUVWXYZ IMPORTANTE ALTELE